Authoritative health publishing shaped by evidence, ethics, and precision.

Featured Health Posts

Check out fresh ideas, wellness guides, and expert advice.

Slipping Rib Syndrome: Symptoms, Causes, and Treatment

Slipping Rib Syndrome: Symptoms, Causes, and Treatment

March 2, 2026

Have you ever felt a strange clicking or popping sensation near your lower ribs? Maybe it comes with a sharp jab of pain that radiates into your back or belly. You might have brushed it off as a pulled muscle or a random cramp. But if this keeps happening, you could be dealing with slipping

Costal Cartilage Explained: Causes, Functions, Symptoms & Care Tips

Costal Cartilage Explained: Causes, Functions, Symptoms & Care Tips

March 1, 2026

Have you ever felt a sharp, stabbing pain near your chest and wondered if something was seriously wrong? Maybe you dismissed it as a muscle pull or stress. But what if the real culprit was something most people have never even heard of: costal cartilage? It sits quietly in your chest wall, doing its job

Feel Better Fast: The Best Foods to Eat When You’re Sick

Feel Better Fast: The Best Foods to Eat When You’re Sick

February 28, 2026

You wake up feeling terrible. Your head is pounding, your throat is on fire, and the last thing you want to do is think about food. But here’s the thing, what you eat (or don’t eat) when you’re sick can genuinely make or break your recovery. The right foods fuel your immune system. The wrong

How I Knew I Had Uterine Cancer: Early Symptoms I Ignored

How I Knew I Had Uterine Cancer: Early Symptoms I Ignored

February 26, 2026

There’s a moment many women describe, a quiet, unsettling feeling that something just isn’t right. You brush it off. You tell yourself it’s stress, hormones, getting older. That’s exactly what happened to me. And by the time I finally listened to my body, I was facing a stage 3 endometrial cancer diagnosis. This isn’t just

What to Eat After Throwing Up: Safe Foods for Quick Recovery

What to Eat After Throwing Up: Safe Foods for Quick Recovery

February 25, 2026

The stomach has just settled after a rough bout of vomiting. You’re exhausted, maybe a bit shaky, and the last thing you want is to trigger another round. So what to eat after throwing up becomes the big question, something gentle, nourishing, but not overwhelming. You’ve lost fluids, electrolytes, and probably some appetite along the

Red Circle on Skin: Causes, Treatments, and When to Worry

Red Circle on Skin: Causes, Treatments, and When to Worry

February 24, 2026

You wake up one morning, glance in the mirror, and notice it, a red circle on skin that wasn’t there yesterday. Your first thought? Ringworm. But here’s the thing: not every circular rash is ringworm. In fact, a whole range of conditions can show up as ring-shaped patches on your skin, and some of them

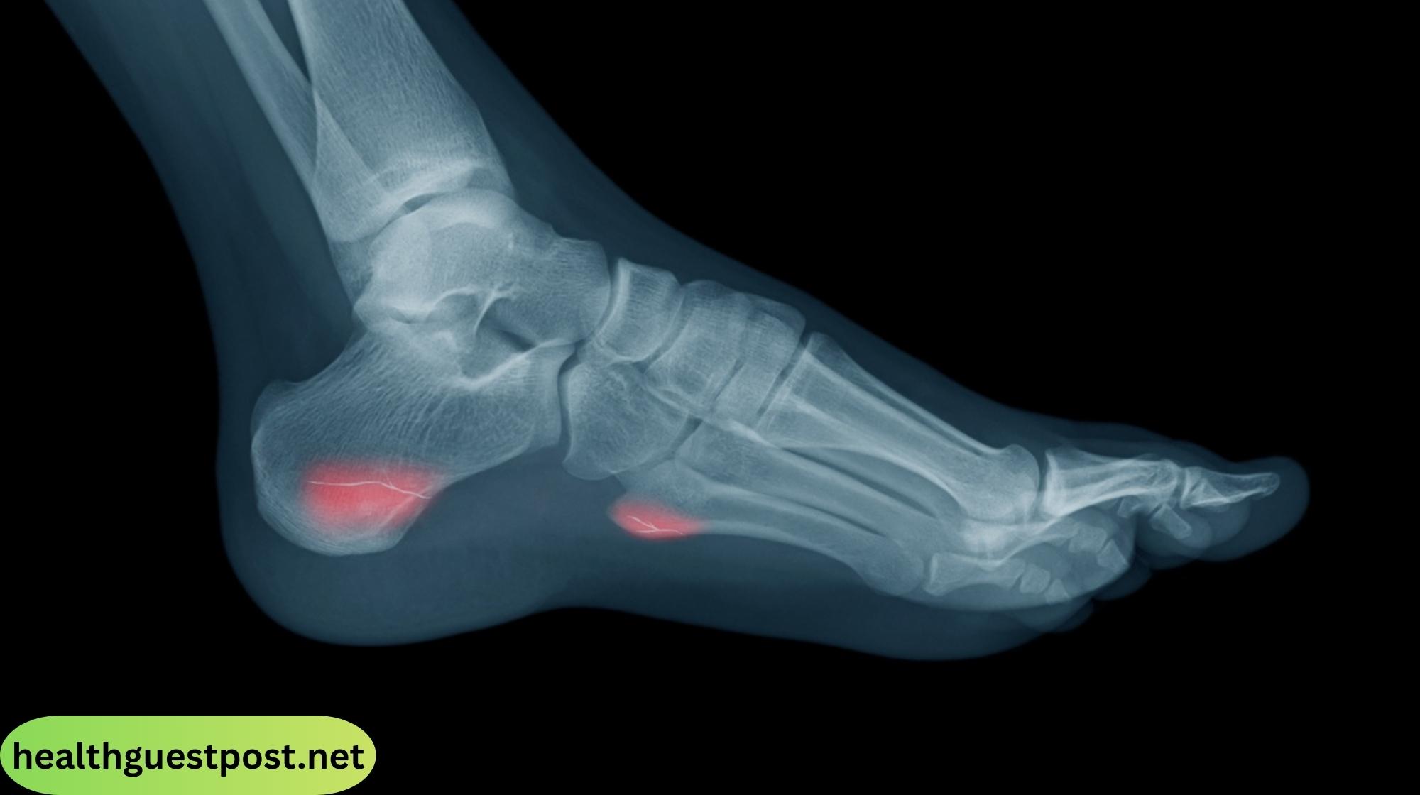
How to Tell If You Have a Bone Bruise or Fracture: Signs, Symptoms & Tips

How to Tell If You Have a Bone Bruise or Fracture: Signs, Symptoms & Tips

February 23, 2026

Pain after a fall can feel confusing and worrying. You might twist your ankle during sports or land badly on a hard surface. The discomfort is real yet the cause isn’t always obvious. Is the bone fractured or just bruised? That distinction matters because recovery time treatment and possible complications depend on the correct diagnosis.

What Does a Stress Fracture Feel Like? Symptoms, Causes, and Treatment

What Does a Stress Fracture Feel Like? Symptoms, Causes, and Treatment

January 25, 2026

Understanding what a stress fracture feels like is crucial for anyone who stays active, whether you’re a professional athlete, a weekend runner, or someone who enjoys high-impact exercise. Stress fractures are tiny cracks in bones caused by repetitive force, often from overuse or sudden increases in activity. They can be subtle at first, with discomfort

 What Causes Sharp Pain in Lower Abdomen?

 What Causes Sharp Pain in Lower Abdomen?

January 25, 2026

Lower abdominal pain can strike suddenly, leaving you unsure if it’s something minor like gas or something more serious that requires medical attention. Sharp pain in the lower abdomen is particularly concerning because it can signal conditions ranging from digestive issues to reproductive system problems or urinary tract complications.  Understanding the causes, recognizing the symptoms,

Does Wellbutrin help with anxiety? A Complete Guide to Benefits And Side Effects

Does Wellbutrin help with anxiety? A Complete Guide to Benefits And Side Effects

January 25, 2026

Anxiety can feel overwhelming, stealing focus, sleep, and energy from your daily life. Many people wonder if medications like Wellbutrin can help manage anxiety, especially since it is primarily known as an antidepressant. In this article, we explore the question “Does Wellbutrin help with anxiety?”, breaking down its uses, effectiveness, side effects, and how it